Anoreksija,
moj skelet.
Igrala sem
nogomet in
dala en
nepozaben gol.
Potem so nas
peljali na malino.
Ne. Pardon.
Na malico.
Jedla sem neko
čudno črno pasto.
Menda dobro
za energijo.
Ampak nobene
energije več.
Morala sem
kakat v gozd
in se ponesreči
pogreznila
v mravljišče.
Mravljice so me
oglodale do kosti.
Na igrišče se je
vrnil okostnjak.
Nobenih golov več,
le podaje,
polne upanja.
Nehala sem igrat
nogomet in se
vpisala v pevski zbor,
ampak nisem
mogla pet
brez pljuč.
Svoje življenje sem
končala na faksu medicine.
V učilnici anatomije.
―
TREBUŠNA ZVER
Avtorica glasbe in besedila ter glas: Anja Novak – Anjuta
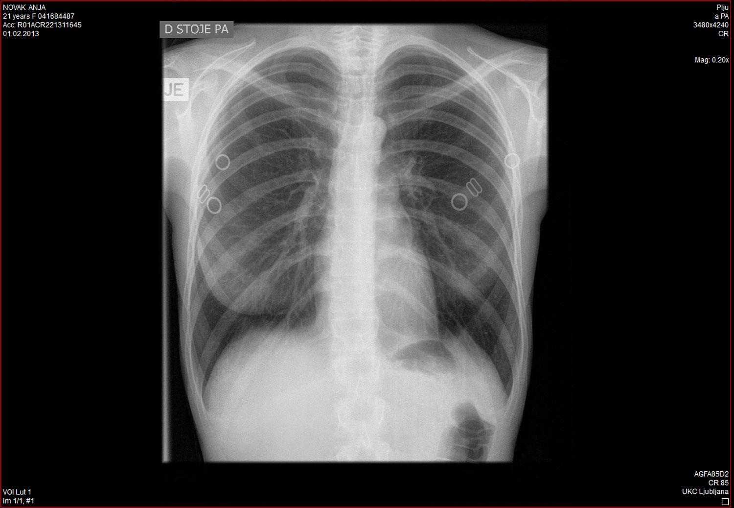
Foto: rentgen na UKC Ljubljana, potem, ko si je Anja med predstavo zlomila rebro
Posneto na koncertu v Pritličju oktobra 2016. Komad je nastal kot material za možno predstavo med študijem Brechta in vauefekta na akademiji dve leti prej. Ostaja večno nepopoln.
Virtualni ogled razstave LAKOTA Gorana Bertoka
